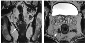
Nguyễn Minh Nhật bởi Phan Quang Đạt Tháng 8 16, 2022 Change your cover photoUpload Change your cover photoUpload Change your cover photo Nguyễn Minh Nhật This user account status is Approved About About Posts Posts Comments Comments Tìm hiểu về EMVI trong ung thư trực tràng 1 năm ago in: Ung thư đại cương, Ung thư tiêu hoá no comments Chia sẻ Email